Home
About
Dr. Sudhakar
Dr. Subathra
Operatories
Our Training
Services
Restrorative Dentistry
Cosmetic Dentistry
Root Canal Treatment
Crowns & Bridges
Gum Hygiene
Dental Implants
Bleaching
Smile Makeover
Maxillo & Facial Surgery
Laser Guided Surgery
Computer Guided Surgery
Orthodontics
Digital Radiology & Diagnosis
Sedative Dentistry
Laser assisted surgery
Veneer/ Laminates
Dentures
Extraction - Atraumatic
Child Dental Care
Full Mouth Rehablitation
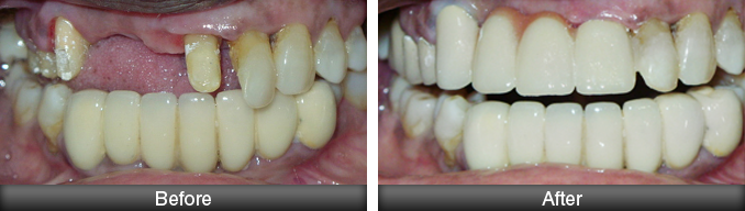
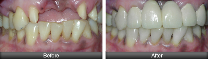
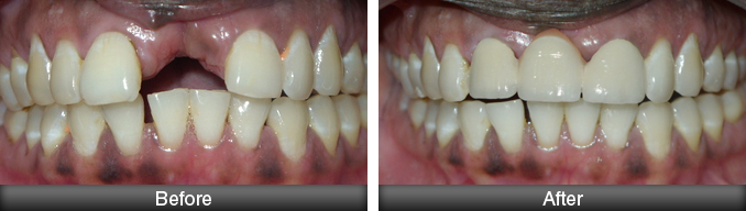
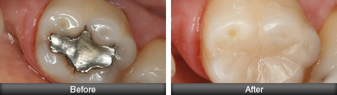
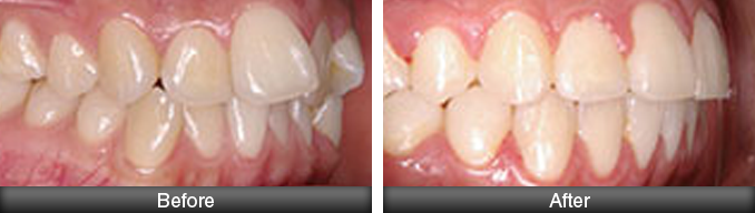
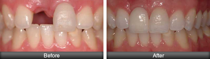
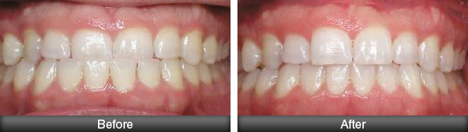
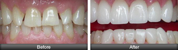
Gallery
Testimonials
Media
Contact
Home
» Gallery of Smiles